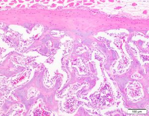
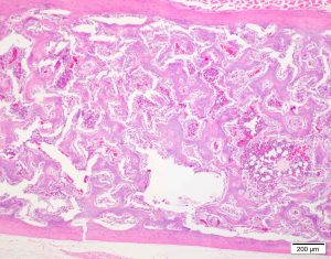
- normal in laying hens
- endosteal proliferation of basophilic trabeculae
- does not obscure the normal cortical bone
- normal bone marrow fills the intertrabecular space


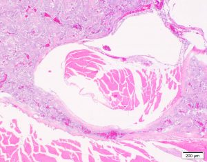
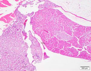
Variations of Medullary Bone
Discrete masses of medullary bone the efface and extend from the endosteal or periosteal surface. Wrap around and compress adjacent structures. Osteomas versus degenerative change? (I have seen only in Inca Doves – BT)

